歯の色・形・歯並びを美しくする
歯並びを自分の歯を移動して治す矯正方法と、矯正した後に被せ物で色を治す、または被せ物等で歯並びを治す方法があります。この場合は歯の色もきれいになります。
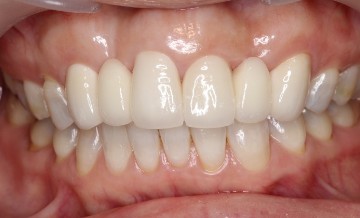
実際の症例

34歳女性
【解説】
ある専門職の資格を取ることを目指すがんばり屋のRさんは新しい自分、新しい人生を夢見て毎日を明るく、ひたむきに生きる女性でした。しかしそんなRさんにも悩みがありました。それは「歯」のことです。歯に自信がなかったのです。人前で歯を見せまいとするしぐさが嫌でした。思い切って相談に来られたRさんは必要な検査の後、時間がかかること、いろいろな治療が必要なこと、費用もかかることなど詳しく説明を受けたあと、迷うことなく決心をされました。
2年以上かかりましたが、コンプレックスという大きな重しがなくなったRさんはますます自信をつけられてとうとう自分の事務所の開業を果たされました。
【治療方針】
予防プログラム(正しい歯の手入れ法の習得)、基本的治療(歯周病、ムシ歯、根の中の治療など)、その後、歯列矯正、歯冠修復(かぶせものなど)。

※下記の口元の写真はクリックすると、拡大して見ることができます。


マイクロインプラントを利用して歯並びを矯正
44歳女性
【解説】
数年前にある審美歯科と称するところで歯の色と歯並びを治すためにおこなった治療が全然気に入りませんでした。そこではもうこれが精一杯だと言われました。悩んだ結果当クリニックに相談に来られました。ご要望は「健康的に美しく、満足のいく口元になりたい」。ということでした。検査の結果、歯が不自然に見えるのは、上の歯列の真ん中(正中)が大きく右にずれたままで、しかも歯の位置はそのままでラミネートやオールセラミックのかぶせものをしているため、歯は白くなったがシンメトリーバランスが悪く、歯が口からモッコリ出ている感じがあったからです。
【治療方針】
予防プログラム、基本的治療、歯列矯正(上下)、歯冠修復。


44歳女性
【解説】
2人のお子様をお持ちのTさんは今やっと子供の手も離れて自分のことを考えられるようになりました。これからは自分のためにしたいことをやりたいと、前々から気になっていた歯並びのことで相談にお越しになりました。上の前歯が3重に重なり合って歯が前に突き出たようになっていました。
Tさんは1年前後で治したいという強いご要望がありました。歯並びだけでなく歯の色もきれいにしたいというご希望でした。結果1年3ヶ月かかって歯並びと色がきれいに治りました。
【治療方針】
予防プログラム、歯列矯正(上下)、歯冠修復(2ユニットブリッジ)
























