歯の色・形・歯並びを美しくする
2019年4月 3日 水曜日
矯正するのに年齢は関係ない。
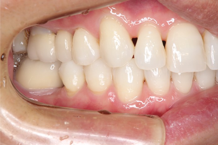
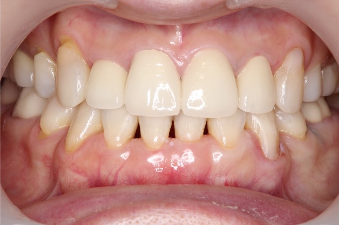
子供の時から気になっていた歯並びと咬み合わせ。48歳(女性)のFさんは
見た目だけでなく、噛むことにも不具合を感じていました。
今まで歯の矯正は子供がするものだと思ってあきらめていました。
でもお友達の50歳を過ぎた方がここできれいに治されたことを知って相談に来られました。
検査の結果、治すことが充分可能なことを知ったFさんは「きれい」と「健康機能」を
得る決心をされました。2年の歳月はちょっと長かったですが満足と自信と
すてきな笑顔を手に入れることができました。「美しくなるのに年齢は関係ないですね」
と喜んでいらっしゃいました。
ホーカベ歯科クリニック 歯科医師 波々伯部重俊
見た目だけでなく、噛むことにも不具合を感じていました。
今まで歯の矯正は子供がするものだと思ってあきらめていました。
でもお友達の50歳を過ぎた方がここできれいに治されたことを知って相談に来られました。
検査の結果、治すことが充分可能なことを知ったFさんは「きれい」と「健康機能」を
得る決心をされました。2年の歳月はちょっと長かったですが満足と自信と
すてきな笑顔を手に入れることができました。「美しくなるのに年齢は関係ないですね」
と喜んでいらっしゃいました。
ホーカベ歯科クリニック 歯科医師 波々伯部重俊
![]() |
![]() |
![]() |
| ⇩ | ||
![]() |
![]() |
![]() |
![]() |
⇨ |
![]() |
![]() |
⇨ |
![]() |
投稿者 尾張旭や名古屋市で審美歯科ならホーカベ歯科クリニック | 記事URL
2016年3月16日 水曜日
歯が美しくなることは、男性でも自分を高めることにつながる。
46歳の会社経営のYさんは外国に会社を出している関係でよく海外に出張します。
現地の人に会う度に感じていたことがありました。いつも自分の口を見られていると。
日本では別にどうということはなかったのですが、それが気になっていました。
あるとき、そのことを友人に話すと、歯を見られているのではないかと言われました。
外国では人種を問わず、リーダーや、C.E.Oになるような人は歯にはとても気を使っています。
なぜなら、スマイルからこぼれ見える歯はその人の品格、知性、健康観、清潔感をかもしだし、
好意的印象をもっとも現すもののひとつだと信じられているからです。特に初めての出会いで
グッドスマイルが与える印象はとても重要です。そのことに気付いたYさんは思い切って歯を治す
決心をされました。歯並びを治して歯を白くすることを行ないました。
歯の修復は奥歯のみで、前歯はすべて自分の歯のままです。近年世界が近くなったグローバルな世の中で
歯に対する意識の違いが自分を不利にすることなどないようにしたいものです。
ホーカベ歯科クリニック 波々伯部重俊
現地の人に会う度に感じていたことがありました。いつも自分の口を見られていると。
日本では別にどうということはなかったのですが、それが気になっていました。
あるとき、そのことを友人に話すと、歯を見られているのではないかと言われました。
外国では人種を問わず、リーダーや、C.E.Oになるような人は歯にはとても気を使っています。
なぜなら、スマイルからこぼれ見える歯はその人の品格、知性、健康観、清潔感をかもしだし、
好意的印象をもっとも現すもののひとつだと信じられているからです。特に初めての出会いで
グッドスマイルが与える印象はとても重要です。そのことに気付いたYさんは思い切って歯を治す
決心をされました。歯並びを治して歯を白くすることを行ないました。
歯の修復は奥歯のみで、前歯はすべて自分の歯のままです。近年世界が近くなったグローバルな世の中で
歯に対する意識の違いが自分を不利にすることなどないようにしたいものです。
ホーカベ歯科クリニック 波々伯部重俊
![]() |
![]() |
![]() |
| ⇩ | ||
![]() |
![]() |
![]() |
![]() |
▶ |
![]() |
投稿者 尾張旭や名古屋市で審美歯科ならホーカベ歯科クリニック | 記事URL
2015年6月16日 火曜日
歯をきれいにするのに年齢なんか関係ない
これまでずっと受け口と歯並びの悪さ、そして変な歯の治療跡が気になっていました。
45歳の女性にとって悩みの種でした。これまで歯が悪くなればその都度歯科医院に
行って治療をしてきましたが、満足のいく治療ではありませんでした。
でも何とかしたい。そんなつよい思いでご相談に来られました。
歯の悩みは人によって深刻なものがあります。しかし何歳になってもあきらめる必要はありません。
自信を持つことは自分を変える大きなチャンスになります。
健康と若さ、そして美しさは人が幸せと感じる原動力になることはまちがいないのですから。
総合健康審美歯科 ホーカベ歯科クリニック 波々伯部重俊
45歳の女性にとって悩みの種でした。これまで歯が悪くなればその都度歯科医院に
行って治療をしてきましたが、満足のいく治療ではありませんでした。
でも何とかしたい。そんなつよい思いでご相談に来られました。
![]() |
||
![]() |
![]() |
![]() |
![]() |
||
![]() |
||
![]() |
![]() |
![]() |
![]() |
||
![]() |
![]() |
![]() |
![]() |
||
![]() |
||
![]() |
![]() |
![]() |
歯の悩みは人によって深刻なものがあります。しかし何歳になってもあきらめる必要はありません。
自信を持つことは自分を変える大きなチャンスになります。
健康と若さ、そして美しさは人が幸せと感じる原動力になることはまちがいないのですから。
総合健康審美歯科 ホーカベ歯科クリニック 波々伯部重俊
投稿者 尾張旭や名古屋市で審美歯科ならホーカベ歯科クリニック | 記事URL
2015年4月17日 金曜日
すきっ歯がこんなにきれいに治りました。
生まれつき歯が2本生えてこなかったことも原因して、歯と歯の間が大きく
空いてしまいました。まだお若いAさんはなんとか普通にきれいになりたい
という強い願望をおもちでした。歯を抜いたり、歯を削ったり、かぶせたりしない
方法で治しました。
「審美矯正」の方法は多くの利点をもっています。矯正だけでもない、かぶせる
だけでもない、ましてインプラントなどしなくても健康的に美しく治すことができました。
ホーカベ歯科クリニック 歯科医師 波々伯部重俊
空いてしまいました。まだお若いAさんはなんとか普通にきれいになりたい
という強い願望をおもちでした。歯を抜いたり、歯を削ったり、かぶせたりしない
方法で治しました。
![]() |
||
![]() |
![]() |
![]() |
![]() |
||
![]() |
||
![]() |
![]() |
![]() |
![]() |
||
![]() |
![]() |
![]() |
![]() |
||
![]() |
||
![]() |
![]() |
![]() |
「審美矯正」の方法は多くの利点をもっています。矯正だけでもない、かぶせる
だけでもない、ましてインプラントなどしなくても健康的に美しく治すことができました。
ホーカベ歯科クリニック 歯科医師 波々伯部重俊
投稿者 尾張旭や名古屋市で審美歯科ならホーカベ歯科クリニック | 記事URL
2013年4月16日 火曜日
子供の頃から歯の色も歯並びも悪いときはどうして治すの?
生まれつき歯が1本足りない状態と開咬(上下の前歯が咬み合わない)がありました。前歯で噛むことができずそのうえつよい変色歯でした。
子供の時から口を開けて笑うことはできませんでした。18歳のFさんは社会人になるまでに普通の歯になっていたいと
つよく思いました。3年以上の歳月をかけ歯並び、咬み合わせ、歯の色の問題は解決されました。
5年後Fさんはお子さんが二人いるお母さまになられました。そして今お子様といっしょに口を開けて笑っていらっしゃいます。
治療方法:上下矯正、咬合治療、セラミックラミネート
![]() |
![]() |
|
![]() |
![]() |
![]() |
投稿者 尾張旭や名古屋市で審美歯科ならホーカベ歯科クリニック | 記事URL




































































