50歳以上の方の若返り治療
2020年4月10日 金曜日
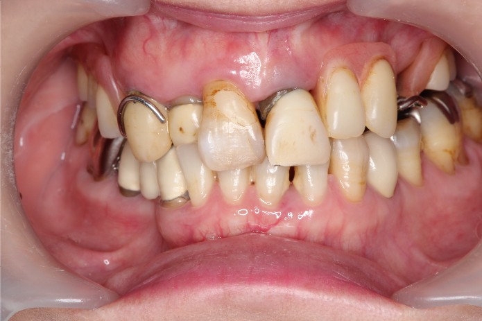
白い歯になりたい。
![]() |
![]() |
|
![]() |
![]() |
|
![]() |
![]() |
|
![]() |
![]() |
|
|
58歳女性 【お悩み・ご要望】 4年前に入れた前歯のかぶせ物の色と形がきれいじゃない、歯肉が黒くなって来た。 下の歯の色と歯並びがガタガタ、口臭が気になる。白い歯になりたい。 【治療方針】 オーラル検査、予防プログラム、歯の基本治療、歯肉黒ずみ処置、下顎矯正、かぶせものの再修復など。 口元には若返り、品性の回復、美しさ回復、清潔感などがあふれています。お顔の表情にも自信がもどりました。 |
投稿者 尾張旭や名古屋市で審美歯科ならホーカベ歯科クリニック | 記事URL
2019年4月 3日 水曜日
歯の健康と口元の若々しさを取り戻す。
成人して30年間どれだけ歯科医院に通っただろうか。にもかかわらず、
口の中は良くなるどころか不健康になってしまった。とお嘆きのXさん。
歯茎は腫れ、歯は動き、歯並びも、見た目も悪くなってしまって、
年より老けて見えるようになってしまったと。口の中は
医師が行った治療の跡はどこにもなく、ただ修復物だけが入って
いるという状態です。病気を治し健康を回復し、予防によって
それを維持しようとする痕跡はみじんも見当たらない。
とXさんは言いたかったのではないでしょうか。当院で行ったことは
予防(プラークコントロールの技術と習慣性)、基本治療(虫歯の治療、歯周病の治療など)、
咬合挙上(噛み合わせの位置を挙げる)、歯の修復(不良修復物も含む)
その結果、一本一本の歯の健康と噛む機能の回復、そして口元の若々しさを
取り戻すことができました。
ホーカベ歯科クリニック(総合審美、歯科アンチエイジング専) 歯科医師 波々伯部重俊
口の中は良くなるどころか不健康になってしまった。とお嘆きのXさん。
歯茎は腫れ、歯は動き、歯並びも、見た目も悪くなってしまって、
年より老けて見えるようになってしまったと。口の中は
医師が行った治療の跡はどこにもなく、ただ修復物だけが入って
いるという状態です。病気を治し健康を回復し、予防によって
それを維持しようとする痕跡はみじんも見当たらない。
とXさんは言いたかったのではないでしょうか。当院で行ったことは
予防(プラークコントロールの技術と習慣性)、基本治療(虫歯の治療、歯周病の治療など)、
咬合挙上(噛み合わせの位置を挙げる)、歯の修復(不良修復物も含む)
その結果、一本一本の歯の健康と噛む機能の回復、そして口元の若々しさを
取り戻すことができました。
ホーカベ歯科クリニック(総合審美、歯科アンチエイジング専) 歯科医師 波々伯部重俊
|
|
|
|
| ⇩ | ||
|
|
|
|
|
|
|
|
| ⇩ | ||
|
|
|
|
投稿者 尾張旭や名古屋市で審美歯科ならホーカベ歯科クリニック | 記事URL
2019年4月 3日 水曜日
笑っても上の歯が見えない。若い時の口元に変わる。
若い時には笑ったら歯が見えていたのに。
若い時の写真を見ると、笑った時に歯がしっかりと見えていたのに、今は、上の歯が
見えなくなって口元にたるみが出てきて老けた顔になってしまった。まだ50代のFさんには
そんな悩みがありました。歯科医院へ行く度に、次々と歯が失われていきました。
勧められるままにインプラントを入れ、入れ歯を作ったにもかかわらず、まともに噛むこともままならなかった
と歎いておられました。歯を抜くたびに上下の顎の間隔が短くなっていったようです。その結果、
口元のたるみができてハリツヤのない顔になってしまいました。
(治療)そこで上・下の顎の間隔を元に伸ばし、トレーニング用義歯で
噛む力を与え、筋肉を鍛えることによりたるみもなくなりリフトアップもできました。
上の歯もしっかりと見えるようになりました。
歯が見えると表情も若々しくなります。
ホーカベ歯科クリニック(総合審美、歯科アンチエイジング専) 歯科医師 波々伯部重俊
矯正中 矯正後修復
若い時の写真を見ると、笑った時に歯がしっかりと見えていたのに、今は、上の歯が
見えなくなって口元にたるみが出てきて老けた顔になってしまった。まだ50代のFさんには
そんな悩みがありました。歯科医院へ行く度に、次々と歯が失われていきました。
勧められるままにインプラントを入れ、入れ歯を作ったにもかかわらず、まともに噛むこともままならなかった
と歎いておられました。歯を抜くたびに上下の顎の間隔が短くなっていったようです。その結果、
口元のたるみができてハリツヤのない顔になってしまいました。
(治療)そこで上・下の顎の間隔を元に伸ばし、トレーニング用義歯で
噛む力を与え、筋肉を鍛えることによりたるみもなくなりリフトアップもできました。
上の歯もしっかりと見えるようになりました。
歯が見えると表情も若々しくなります。
ホーカベ歯科クリニック(総合審美、歯科アンチエイジング専) 歯科医師 波々伯部重俊
|
|
|
|
| ⇩ | ||
|
|
|
|
|
|
|
|
|
|
|
投稿者 尾張旭や名古屋市で審美歯科ならホーカベ歯科クリニック | 記事URL
2019年3月 4日 月曜日
歯のトータルな悩みを持っている人がいます。
人は誰でも自分はこうなりたいとか、こうしたいという欲求や願望を持っています。それは年齢や時代によっても異なるものですが、近年は日本でもこれまでのように「物」を手に入れるだけの満足から、より心を充実させる満足を望む人が増えてきています。手に入れたいと思うものの中にも、別に今でなくてもよいものもあれば、今だからこそ手に入れておくべきものもあります。その代表と言えば「健康」でしょう。健康につながるものとして「若々しさ」や「美しさ」「自信」もそのひとつです。
◎さまざまな歯のトラブル(問題)の悩みや口元の悩み
私たちのクリニックを訪れる方たちは、歯や口元についてさまざまな悩みを持っています。
たとえば、歯の色や形が気になる、治してもらったのだけれど満足できない、歯並びが悪い、口元が老けて見える、笑顔に自信がないなどの美しさに関する悩みを持つ人。あるいはムシ歯や歯周病、口臭など歯の健康と若さが失われていくことに不安を持つ人、さらにはよく噛めない、口が開きにくい、顎がずれているなどの口全体の機能や顔貌が気になっている人。中には咬み合わせが原因で頭痛やひどい肩こり、不眠、疲労感といった全身症状を引き起こしている人もいます。
◎ほんとうの動機
こうした患者さんの多くは、これらの悩みを長年抱えた末に来院されるのです。そのような方たちを治療に向かわせた
本当の動機は・・・?たとえば、就職や転職、結婚、留学といった人生の大きな節目を前にしたり、家事や育児に追われて歳を重ねてきたものの、今度は自分自身のことを考えたい、もう一度何かにチャレンジしたいという気持ちです。そんな方たちの心の奥を考えると
治療というのは単に症状を治すだけのものではなく、その人の人生に大きくかかわっているのだということを感じます。
◎夢の実現
たとえばこんなことがありました。歯がグラグラするから(歯周病)と来院された40歳の女性。しかし話をよく聴いてみると、彼女は友人が語学留学をする話を聞いて刺激され、自分も英語の勉強を始めたものの、もともと歯に自信が無くつよい口臭も気になっていたため、英会話教室で人に会って話すことが出来ずに、もっぱらテレビ講座を利用するのが精一杯でした。人に会って実際に会話をしたい。それができずに自分だけが取り残されている不安にかられたそうです。
歯周病は治るということを説明し、治療を開始しました。私たちはその人の来院の本当の動機を知った上で、その人が自信や笑顔を取り戻すことが出来るように。そのことが私たちの治療の大きな目標の一つと考えています。すべての治療が終わって1年後とうとう彼女は英会話の武者修行にカナダに行く夢を実現されたのです。
健康や美しさは後からでも何とかなるというものではありません。それは待っていても手に入るものではないのです。
自分自らが積極的に取りにいく心のアティチュードが必要なのです。そして一歩踏み出す勇気があれば人は変わることが出来るのですから。
私たちは治療を通してそんな患者さんの夢の実現にもお役に立ちたいと考えています。
ホーカベ歯科クリニック 歯科医師 波々伯部重俊
◎さまざまな歯のトラブル(問題)の悩みや口元の悩み
私たちのクリニックを訪れる方たちは、歯や口元についてさまざまな悩みを持っています。
たとえば、歯の色や形が気になる、治してもらったのだけれど満足できない、歯並びが悪い、口元が老けて見える、笑顔に自信がないなどの美しさに関する悩みを持つ人。あるいはムシ歯や歯周病、口臭など歯の健康と若さが失われていくことに不安を持つ人、さらにはよく噛めない、口が開きにくい、顎がずれているなどの口全体の機能や顔貌が気になっている人。中には咬み合わせが原因で頭痛やひどい肩こり、不眠、疲労感といった全身症状を引き起こしている人もいます。
◎ほんとうの動機
こうした患者さんの多くは、これらの悩みを長年抱えた末に来院されるのです。そのような方たちを治療に向かわせた
本当の動機は・・・?たとえば、就職や転職、結婚、留学といった人生の大きな節目を前にしたり、家事や育児に追われて歳を重ねてきたものの、今度は自分自身のことを考えたい、もう一度何かにチャレンジしたいという気持ちです。そんな方たちの心の奥を考えると
治療というのは単に症状を治すだけのものではなく、その人の人生に大きくかかわっているのだということを感じます。
◎夢の実現
たとえばこんなことがありました。歯がグラグラするから(歯周病)と来院された40歳の女性。しかし話をよく聴いてみると、彼女は友人が語学留学をする話を聞いて刺激され、自分も英語の勉強を始めたものの、もともと歯に自信が無くつよい口臭も気になっていたため、英会話教室で人に会って話すことが出来ずに、もっぱらテレビ講座を利用するのが精一杯でした。人に会って実際に会話をしたい。それができずに自分だけが取り残されている不安にかられたそうです。
歯周病は治るということを説明し、治療を開始しました。私たちはその人の来院の本当の動機を知った上で、その人が自信や笑顔を取り戻すことが出来るように。そのことが私たちの治療の大きな目標の一つと考えています。すべての治療が終わって1年後とうとう彼女は英会話の武者修行にカナダに行く夢を実現されたのです。
健康や美しさは後からでも何とかなるというものではありません。それは待っていても手に入るものではないのです。
自分自らが積極的に取りにいく心のアティチュードが必要なのです。そして一歩踏み出す勇気があれば人は変わることが出来るのですから。
私たちは治療を通してそんな患者さんの夢の実現にもお役に立ちたいと考えています。
ホーカベ歯科クリニック 歯科医師 波々伯部重俊
投稿者 尾張旭や名古屋市で審美歯科ならホーカベ歯科クリニック | 記事URL
2016年3月19日 土曜日
いつまでもきれいな歯でそして歯の健康を守る取り組みとは?
55歳の女性Kさんは若い頃からいわゆる一般的歯科治療を何回となく繰り返してこられました。
治すたびに歯がきたなくなり、口もとがふけ顔になっていくのを感じていました。
歯を生涯にわたって、健康な状態で維持していくための予防・治療計画についての歯科医師からの
アプローチは一回もありませんでした。その場しのぎのそのつど治療でしかなかったのです。
だれでも自分の歯は一生持ってほしいと思うでしょう。でもなかなかそうならない
のが現実です。それは歯が一生持つために必要なことをしないからに他なりません。しかしそれは
患者さんの責任ではありません。患者さんはそもそもそんなこと知らないのがあたりまえです。
一番良く知っているはずの歯科医師が修復治療に重点をおいた診療を行なってきた結果でもあるのです。
「医者を選ぶのも命の内」といいます。歯の命を長くすることが出来るかどうかはそういううことかもしれません。
ホーカベ歯科クリニック 波々伯部重俊
治すたびに歯がきたなくなり、口もとがふけ顔になっていくのを感じていました。
歯を生涯にわたって、健康な状態で維持していくための予防・治療計画についての歯科医師からの
アプローチは一回もありませんでした。その場しのぎのそのつど治療でしかなかったのです。
だれでも自分の歯は一生持ってほしいと思うでしょう。でもなかなかそうならない
のが現実です。それは歯が一生持つために必要なことをしないからに他なりません。しかしそれは
患者さんの責任ではありません。患者さんはそもそもそんなこと知らないのがあたりまえです。
一番良く知っているはずの歯科医師が修復治療に重点をおいた診療を行なってきた結果でもあるのです。
「医者を選ぶのも命の内」といいます。歯の命を長くすることが出来るかどうかはそういううことかもしれません。
ホーカベ歯科クリニック 波々伯部重俊
![]() |
![]() |
![]() |
| ⇩ | ||
![]() |
![]() |
![]() |
![]() |
![]() |
![]() |
| ⇩ | ||
![]() |
![]() |
![]() |
投稿者 尾張旭や名古屋市で審美歯科ならホーカベ歯科クリニック | 記事URL



































