ホワイトニング
2012年11月 1日 木曜日
歯全体が濃い茶系の変色歯
![]() |
![]() |
|
![]() |
![]() |
![]() |
|
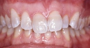
22歳女性(2318) 【診療方針】 歯自体が変色している場合はブリーチだけではなかなか白くなりません。 このような歯の場合はラミネート式のやり方でやる方が白くなります。 横しまの茶色が特に濃い変色歯です。全体の色が黄色、茶、グレーと3色に分かれています。クリーニング+ブリーチング3回+ナノハイブリッドレジン充填。 |
投稿者 尾張旭や名古屋市で審美歯科ならホーカベ歯科クリニック | 記事URL
2012年11月 1日 木曜日
茶色の変色歯を白くしたい
![]() |
![]() |
|
![]() |
![]() |
![]() |
|
28歳女性(14) 【診療方針】 横しまの茶色が特に濃い変色歯です。全体の色が黄色、茶、グレーと3色に分かれています。 正しい歯の手入れ+クリーニング+ブリーチング3回の後にナノハイブリッドレジン充填を横しまの茶色い部分に行ないました。 |
投稿者 尾張旭や名古屋市で審美歯科ならホーカベ歯科クリニック | 記事URL

























