歯科医療の進むべき道とは?
2017年10月27日 金曜日
歯周病が今も話題になっています(何十年もの間、減っていない疾患)。
日本人は90%以上が歯周病になっている。
ある統計によると日本の成人の80%以上が歯周病を持っていると言われていますが、正しい検査をして軽度の歯肉炎も含めれば
小児を含めた日本人の歯周病罹患率は90%以上になるでしょう。なぜ日本人はこんなに歯周病が多い国民なのか。
その答えは、日本のこれまでの「治療中心の医療体制」により医療現場でも予防の評価が低く、またその実効性も乏しく、歯科医一人一人の
診療哲学(歯科医は何のために存在するのかという基本的な理念)の欠如と、歯の「健康」に対する
価値観を歯科医が国民一人一人に対して教え、育ててこなかった所以(ゆえん)です。
その結果国民レベルはおろか、歯科医療従事者側においても危機意識がなく、歯周病や不適切な治療で大切な歯が無くなってしまってからの処置である
インプラントのようなものを収入源の第一に考えている歯科医院がふえているのが現実です。国民の歯が喪失していくことは歯科医療全体の敗北であり、
歯科医の無責任の結果でしかありません。
歯周病の進み方の一例としては、歯肉から血が出る(歯磨きのとき、歯周ポケット検査のとき)➨歯肉の腫れ(赤く腫れる)
➨朝起きた時の口のネバネバ感➨口臭➨歯のゆるみ➨歯の隙間・歯が伸びた感じ➨歯のぐらつき・噛めない➨歯が抜ける(或は抜歯)
といった具合に進行します。
[歯周病の段階]
歯周病には歯肉炎の段階と歯周炎(骨の喪失を伴う)の段階があります。その二つがミックスしている場合もあります。
歯ぐきからの出血は歯周病の警告サインなのです。ところが出血すると歯ブラシを当てるのが怖くなりそこを避けるようになります。
しかしかえってその間に歯周病はどんどん進行してしまいます。サインを無視するのは危険です。出血に気がついたら、専門家に
診てもらいましょう。
[歯周病の治し方]
専門家による正しい歯の手入れケアのやり方の指導と患者さんがそれを確実に実行することが一番大事です。歯周病初期の段階なら、
ケアの方法を実行するだけで治すことができます。また、歯を支える歯周組織は栄養環境の良し悪しが大きく影響することもわかっています。
歯科栄養学的なアプローチも歯周病対策として重要な補完材料となっているのです。
歯周病は「歯肉炎」の段階でしっかりと治しておくことができれば一番良いのですが、歯周炎の段階になっても心配することはありません。
歯周病に打ち勝つ方法を患者さんと歯科医の二人三脚で実行していけばいいのです。
歯の健康を守るうえで最も重要な正しいプラークを取る技術(ブラッシングなどの技術)と歯周病を治す治療技術の質、そして何より大事なのが
患者さんも歯科医師も「必ず治すのだ」という強い意志を持つことです。それらが伴わなければ歯周病は決して治りません。
自分は歯周病のどの段階にあるのか、歯周病になった直接的原因と間接的要因(生活習慣も含む)は何なのか。ということを
検査をすることによって明確にし、それを患者さん自身が知ることが大切です。医者まかせで治るものではありません。
今,日本では、歯が無くなってから入れるインプラントをやろうとする歯科医が増えています。
「インプラント治療」と言っていますが、インプラントは治療ではありません。インプラントは義歯です。
歯が無くなってから入れる「物」にすぎません。天然の歯にはなり得ないのです。
歯が無くならず自分の歯が一生あり続けることがこそが大事で、そのためにこそ本当に歯を守るための予防や治療をすることが
真の歯科医療の勝利につながるでしょう。
ホーカベ歯科クリニック 歯科医師 波々伯部重俊
ある統計によると日本の成人の80%以上が歯周病を持っていると言われていますが、正しい検査をして軽度の歯肉炎も含めれば
小児を含めた日本人の歯周病罹患率は90%以上になるでしょう。なぜ日本人はこんなに歯周病が多い国民なのか。
その答えは、日本のこれまでの「治療中心の医療体制」により医療現場でも予防の評価が低く、またその実効性も乏しく、歯科医一人一人の
診療哲学(歯科医は何のために存在するのかという基本的な理念)の欠如と、歯の「健康」に対する
価値観を歯科医が国民一人一人に対して教え、育ててこなかった所以(ゆえん)です。
その結果国民レベルはおろか、歯科医療従事者側においても危機意識がなく、歯周病や不適切な治療で大切な歯が無くなってしまってからの処置である
インプラントのようなものを収入源の第一に考えている歯科医院がふえているのが現実です。国民の歯が喪失していくことは歯科医療全体の敗北であり、
歯科医の無責任の結果でしかありません。
歯周病の進み方の一例としては、歯肉から血が出る(歯磨きのとき、歯周ポケット検査のとき)➨歯肉の腫れ(赤く腫れる)
➨朝起きた時の口のネバネバ感➨口臭➨歯のゆるみ➨歯の隙間・歯が伸びた感じ➨歯のぐらつき・噛めない➨歯が抜ける(或は抜歯)
といった具合に進行します。
[歯周病の段階]
歯周病には歯肉炎の段階と歯周炎(骨の喪失を伴う)の段階があります。その二つがミックスしている場合もあります。
歯ぐきからの出血は歯周病の警告サインなのです。ところが出血すると歯ブラシを当てるのが怖くなりそこを避けるようになります。
しかしかえってその間に歯周病はどんどん進行してしまいます。サインを無視するのは危険です。出血に気がついたら、専門家に
診てもらいましょう。
[歯周病の治し方]
専門家による正しい歯の手入れケアのやり方の指導と患者さんがそれを確実に実行することが一番大事です。歯周病初期の段階なら、
ケアの方法を実行するだけで治すことができます。また、歯を支える歯周組織は栄養環境の良し悪しが大きく影響することもわかっています。
歯科栄養学的なアプローチも歯周病対策として重要な補完材料となっているのです。
歯周病は「歯肉炎」の段階でしっかりと治しておくことができれば一番良いのですが、歯周炎の段階になっても心配することはありません。
歯周病に打ち勝つ方法を患者さんと歯科医の二人三脚で実行していけばいいのです。
歯の健康を守るうえで最も重要な正しいプラークを取る技術(ブラッシングなどの技術)と歯周病を治す治療技術の質、そして何より大事なのが
患者さんも歯科医師も「必ず治すのだ」という強い意志を持つことです。それらが伴わなければ歯周病は決して治りません。
自分は歯周病のどの段階にあるのか、歯周病になった直接的原因と間接的要因(生活習慣も含む)は何なのか。ということを
検査をすることによって明確にし、それを患者さん自身が知ることが大切です。医者まかせで治るものではありません。
今,日本では、歯が無くなってから入れるインプラントをやろうとする歯科医が増えています。
「インプラント治療」と言っていますが、インプラントは治療ではありません。インプラントは義歯です。
歯が無くなってから入れる「物」にすぎません。天然の歯にはなり得ないのです。
歯が無くならず自分の歯が一生あり続けることがこそが大事で、そのためにこそ本当に歯を守るための予防や治療をすることが
真の歯科医療の勝利につながるでしょう。
ホーカベ歯科クリニック 歯科医師 波々伯部重俊
投稿者 ホーカベ歯科クリニック | 記事URL
2017年3月 7日 火曜日
歯を抜かずに治すとは。
ー歯科医院に行ったらすぐインプラントを勧められたー
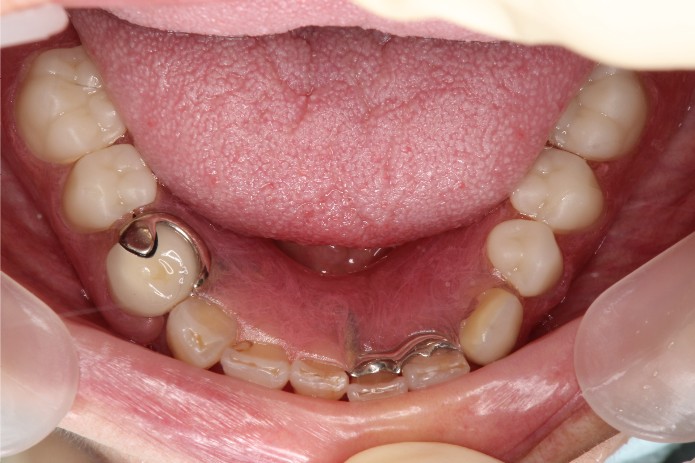
43歳のSさんはある歯科医院で抜歯(歯を抜く)をしてインプラントを入れるか総入れ歯にするしかないと言われました。
その医院では初めから歯を残そうという選択枝はなかったとおっしゃっていました。
歯が全部無くなってしまうという喪失感は、まだ若いSさんにとっては大きなものです。
その思いがせめて歯の根は抜かずに、根の上に入れ歯をのせるということになったそうです。(上段の写真)
しかしこのままではいずれ本当に歯が全部無くなってしまう。
そのことを何とか回避したい。そんな思いで来院されたました。
検査、診断、病状把握の結果、上の前歯はすべて残すことが可能であることがわかりました。
歯周病、ムシ歯、感染根管、咬合(咬み合わせ)などすべての問題を解決し、
やっと40歳代の女性の笑顔を取り戻すことができました。(下段の写真)。
歯科医師の役目の第一は歯や歯周組織の健康を回復し、歯を永く維持していくことです。それが実現できるためには歯科医師の技術と情熱は言うに及ばず、
そのために重要なことは患者さんの協力です。
患者さん自らが歯を悪くしないようにするために行なう日々の予防が最も大事だということを
真剣に動機付け、実際に技術を身につけていただかなくてはなりません。そのために、予防レッスンは極めて大事なのです。
一昨年五月、日本医師会は「日本人の口腔の健康意識は低く、歯周病は糖尿病、心臓病等の原因となり、健康長寿を短くする。
日本人の口の中はバイ菌がいっぱいだ、元気な身体は日頃の口腔ケアーから」と新聞広告で警告していました。「日本医師会」がです。
暗に日本の歯科医に何とかしろと言っているのです。
インプラントが先端医療などと言って歯を物と同じように扱っている限り、日本人の口腔の健康寿命が永くなることは決してないでしょう。
根の先に病巣(病変)があります
根の中の治療(根管治療)を行い病巣も消失しました。
歯だって本来、他の臓器と同じように死ぬまで身体に付いていて当たりまえなのです、たとえムシ歯や歯周病になっても早い段階で適切な治療処置と予防処置そして正しい歯の手入れをおこなうことができれば、歯が失われるなどということは人間の一生でそうそう起こることではありません。もし癌になっても臓器の全摘出はしたくない、部分摘出にとどめたい。だれもが望むことです。歯を抜くということは歯の全摘出です。少しでも自分の歯として噛めるところがほしい。奥歯の無い(S)さんにとっては前歯だけでも自分の歯として噛める場所を確保したかったのです。私たちは患者さんの年齢が何歳であっても、歯や口の中の状態がどの段階で来られようとも、その時、その人にとっての歯や口の最適健康を回復し、それを永く維持していくことに全力を傾ける努力をすることこそ歯科医師としてもっとも重要な役割と考えています。この(S)さんのようにあきらめから希望へと変わることだってできるのです。
ホーカベ歯科クリニック 歯科医師 波々伯部重俊
43歳のSさんはある歯科医院で抜歯(歯を抜く)をしてインプラントを入れるか総入れ歯にするしかないと言われました。
その医院では初めから歯を残そうという選択枝はなかったとおっしゃっていました。
歯が全部無くなってしまうという喪失感は、まだ若いSさんにとっては大きなものです。
その思いがせめて歯の根は抜かずに、根の上に入れ歯をのせるということになったそうです。(上段の写真)
しかしこのままではいずれ本当に歯が全部無くなってしまう。
そのことを何とか回避したい。そんな思いで来院されたました。
検査、診断、病状把握の結果、上の前歯はすべて残すことが可能であることがわかりました。
歯周病、ムシ歯、感染根管、咬合(咬み合わせ)などすべての問題を解決し、
やっと40歳代の女性の笑顔を取り戻すことができました。(下段の写真)。
歯科医師の役目の第一は歯や歯周組織の健康を回復し、歯を永く維持していくことです。それが実現できるためには歯科医師の技術と情熱は言うに及ばず、
そのために重要なことは患者さんの協力です。
患者さん自らが歯を悪くしないようにするために行なう日々の予防が最も大事だということを
真剣に動機付け、実際に技術を身につけていただかなくてはなりません。そのために、予防レッスンは極めて大事なのです。
一昨年五月、日本医師会は「日本人の口腔の健康意識は低く、歯周病は糖尿病、心臓病等の原因となり、健康長寿を短くする。
日本人の口の中はバイ菌がいっぱいだ、元気な身体は日頃の口腔ケアーから」と新聞広告で警告していました。「日本医師会」がです。
暗に日本の歯科医に何とかしろと言っているのです。
インプラントが先端医療などと言って歯を物と同じように扱っている限り、日本人の口腔の健康寿命が永くなることは決してないでしょう。
![]() |
![]() |
![]() |
| ↓ | ||
![]() |
![]() |
![]() |
| 抜かれると言われた歯 | 1本も抜かずにすんだ | |
![]() |
![]() |
![]() |
根の先に病巣(病変)があります
![]() |
![]() |
![]() |
| ↓ | ||
![]() |
![]() |
![]() |
![]() |
![]() |
|
![]() |
![]() |
![]() |
ホーカベ歯科クリニック 歯科医師 波々伯部重俊
投稿者 ホーカベ歯科クリニック | 記事URL
2016年3月 9日 水曜日
入れ歯が合わなくて噛めない、かっこ悪い。
63歳のB子さんは10代の頃から今まで毎年のように数えきれないくらい歯科医院に通ってきました。
しかし10数本の歯を無くす結果になったことを思うと、今まで何のために歯科医院に行っていたのか
わからないとおっしゃっていました。行くたびに歯を削られ、行くたびに神経を取られ、そして行くたびに
歯を抜かれ、何回も入れ歯を作ってこられたと。昭和50年から70年代、高度成長期のまっただ中にあった
日本ですが、人の口の中だけは非健康-否成長時代だったのです。そしてその後もあまり変わったとは
いえません。国民の歯を救い、歯を守ることができなかった「治療中心の歯科」が、もう歯を守ることは
やめて、歯が無くなればインプラントをいれればいいさ、などととんでもないことを考える世の中に
なってきていることを歯科医療に携わる者の一人として心配せざるをえません。
「修復治療中心」から「健康予防中心」へと大きな転換をしなければなりません。超高齢化社会へ向かっている
日本の歯科医療全体の課題です。ホーカベ歯科クリニック 波々伯部重俊
しかし10数本の歯を無くす結果になったことを思うと、今まで何のために歯科医院に行っていたのか
わからないとおっしゃっていました。行くたびに歯を削られ、行くたびに神経を取られ、そして行くたびに
歯を抜かれ、何回も入れ歯を作ってこられたと。昭和50年から70年代、高度成長期のまっただ中にあった
日本ですが、人の口の中だけは非健康-否成長時代だったのです。そしてその後もあまり変わったとは
いえません。国民の歯を救い、歯を守ることができなかった「治療中心の歯科」が、もう歯を守ることは
やめて、歯が無くなればインプラントをいれればいいさ、などととんでもないことを考える世の中に
なってきていることを歯科医療に携わる者の一人として心配せざるをえません。
「修復治療中心」から「健康予防中心」へと大きな転換をしなければなりません。超高齢化社会へ向かっている
日本の歯科医療全体の課題です。ホーカベ歯科クリニック 波々伯部重俊
![]() |
![]() |
![]() |
| ⇩ | ||
![]() |
![]() |
![]() |
![]() |
![]() |
|
![]() |
![]() |
投稿者 ホーカベ歯科クリニック | 記事URL
2016年2月 8日 月曜日
歯を確実に長持ちさせる予防歯科、健康中心歯科。
あなたは自分の歯が将来どれだけ永く持つか心配になったことはありませんか。
もしそうなら、あなたはいますぐ「予防歯科専門」の門をくぐるべきです。
1本の歯だって人間の"寿命"と同じく健康な歯のまま一生を送ることができるのです。それは夢などではありません。実現可能なことなのです。
----誰もが望むこと----
「歯が自然に美しくそして快適で、良く噛むことができ、一生自分の歯のままでありたい」というのは多くの人の願いでしょう。また一生を通じて医療費が経済的なことも望ましいことです。しかしどうすればそれが実現するのかについてはほとんどの人はご存じないのです。今もなお、「治療しかしない」治療歯科に行っている人が多いのが現状です。
都会でもそうですが、地方ならなおのことそうでしょう。
----健康な歯は永く持つ---
健康な歯は永く持つ。これはあたりまえのことです。しかしムシ歯や歯周病を繰り返し、そのつど質の不良な治療をいくら行なっても歯を不健康にするだけで永く持たせることは不可能です。つまり歯を長持ちさせるためには歯や口腔の健康に焦点を合わせなければなりません。歯の疾患が再発するのは質の不良な治療と正しい予防の欠如がほとんどです。どんな目標(健康)に向かって行くべきかを最初にはっきりと決め、その上で予防・治療計画を立てていくことが大事です。将来を見通さないその場しのぎの歯の治療をいくら繰り返しても歯を永く守ることは不可能です。大切なのは歯の健康を維持していくために何が必要なのかを初めから考え、それを治療計画の中に組み入れることです。治療のことだけしか考えない「ただやる治療」の繰り返しは、最後には歯を無くしてしまうことになり、もっとも不経済な結果になってしまいます。歯を残すために使うお金と歯を無くした後のインプラントや入れ歯のようなものに使うお金と、どちらが価値が高いは明らかです。
---そのためには患者さんの理解が必要です---
私たちがただちに歯の治療をしないのを不思議に思われるかもしれません。それは、まず最初に充分な時間を
かけてよくお話をうかがうことが、今後の貴重な時間や費用をムダにしない最善の方法だと信じているからです(カウンセリング)。あなたに歯をダメにする本当の原因や歯の健康を守ることが可能であることをご理解いただきたいからです。
---私たちができる最も価値あるサービス、それは診断です---
検査、診断は医療の最も重要なステップの一つです。健康状態か、病的状態かの正しい判断、生涯健康な歯でいられるかどうかの可能性の把握、これらはのちのち、歯を喪失したり、ムダな治療費の出費をしないためにも欠かすことのできないものです。
そして、診断はひとり医師だけのものではなく、私たちと患者さん自身の目で行う、いわゆる「共同診査」が
きわめて重要です。なぜなら、患者さん自身が自分の歯や口の状態をどれだけ理解されているかが大切なことで、またそれがその人の歯の将来を計画するのに重要なステップになるからです。
----予防作戦で健康な歯に---
私たちの最初の関心は、あなたの歯や歯ぐきの病気がどれだけ進行しているかどうかということです。
ご存じないかもしれませんが、何度歯を磨こうと、ムシ歯や歯ぐきの病気は止めることができないのです。(それは
単に歯を磨いているからです。原因がとれていない。)。しかし、一日一回本当に正しく手入れすれば、あなたの歯はその健康を維持することができるのです。(それは原因を知った上で行なうほんとうの歯の手入れ法だからです)
私たちとともに、正しい手入れ法を身につけましょう(プラーク・コントロールセルフケア)
科学的な予防作戦で、一生涯自分の歯を守ることができるのです。
歯の治療の目標は「歯1本1本が健康になる」ということ(単に修復することではない)、そして「再治療の可能性が無いようにすること」が大事なのです。一本のムシ歯の治療でも充分時間をかけ、再発しないようにていねいに、確実に
行なうことが大事です。その場合いかにして歯を多く削らず、再発しないようにしていくか、細心の注意と技術が必要です。
私たちの目指す目標は、健康で快適な歯や口の実現と、その一生にわたる維持です。
この望みのすべてを達成するには、いくぶん時間がかかるかもしれませんが、あらかじめ計画された治療方針にしたがって各自が自己の分担を果たしていけば、一生涯歯科的健康を維持し、快い協力関係がもてると思います。
ホーカベ歯科クリニックでは開業と同時に「予防歯科」をメインに取り入れ独自の医療進化をとげてきました。
歯でお悩みの多くの方々そして自分の大事な歯を一生涯守っていきたいと願う方々のために、すばらしい予防歯科の
実践をこれからもより発展し続けていきたいと思っています。 ホーカベ歯科クリニック 波々伯部重俊
もしそうなら、あなたはいますぐ「予防歯科専門」の門をくぐるべきです。
1本の歯だって人間の"寿命"と同じく健康な歯のまま一生を送ることができるのです。それは夢などではありません。実現可能なことなのです。
----誰もが望むこと----
「歯が自然に美しくそして快適で、良く噛むことができ、一生自分の歯のままでありたい」というのは多くの人の願いでしょう。また一生を通じて医療費が経済的なことも望ましいことです。しかしどうすればそれが実現するのかについてはほとんどの人はご存じないのです。今もなお、「治療しかしない」治療歯科に行っている人が多いのが現状です。
都会でもそうですが、地方ならなおのことそうでしょう。
----健康な歯は永く持つ---
健康な歯は永く持つ。これはあたりまえのことです。しかしムシ歯や歯周病を繰り返し、そのつど質の不良な治療をいくら行なっても歯を不健康にするだけで永く持たせることは不可能です。つまり歯を長持ちさせるためには歯や口腔の健康に焦点を合わせなければなりません。歯の疾患が再発するのは質の不良な治療と正しい予防の欠如がほとんどです。どんな目標(健康)に向かって行くべきかを最初にはっきりと決め、その上で予防・治療計画を立てていくことが大事です。将来を見通さないその場しのぎの歯の治療をいくら繰り返しても歯を永く守ることは不可能です。大切なのは歯の健康を維持していくために何が必要なのかを初めから考え、それを治療計画の中に組み入れることです。治療のことだけしか考えない「ただやる治療」の繰り返しは、最後には歯を無くしてしまうことになり、もっとも不経済な結果になってしまいます。歯を残すために使うお金と歯を無くした後のインプラントや入れ歯のようなものに使うお金と、どちらが価値が高いは明らかです。
---そのためには患者さんの理解が必要です---
私たちがただちに歯の治療をしないのを不思議に思われるかもしれません。それは、まず最初に充分な時間を
かけてよくお話をうかがうことが、今後の貴重な時間や費用をムダにしない最善の方法だと信じているからです(カウンセリング)。あなたに歯をダメにする本当の原因や歯の健康を守ることが可能であることをご理解いただきたいからです。
---私たちができる最も価値あるサービス、それは診断です---
検査、診断は医療の最も重要なステップの一つです。健康状態か、病的状態かの正しい判断、生涯健康な歯でいられるかどうかの可能性の把握、これらはのちのち、歯を喪失したり、ムダな治療費の出費をしないためにも欠かすことのできないものです。
そして、診断はひとり医師だけのものではなく、私たちと患者さん自身の目で行う、いわゆる「共同診査」が
きわめて重要です。なぜなら、患者さん自身が自分の歯や口の状態をどれだけ理解されているかが大切なことで、またそれがその人の歯の将来を計画するのに重要なステップになるからです。
----予防作戦で健康な歯に---
私たちの最初の関心は、あなたの歯や歯ぐきの病気がどれだけ進行しているかどうかということです。
ご存じないかもしれませんが、何度歯を磨こうと、ムシ歯や歯ぐきの病気は止めることができないのです。(それは
単に歯を磨いているからです。原因がとれていない。)。しかし、一日一回本当に正しく手入れすれば、あなたの歯はその健康を維持することができるのです。(それは原因を知った上で行なうほんとうの歯の手入れ法だからです)
私たちとともに、正しい手入れ法を身につけましょう(プラーク・コントロールセルフケア)
科学的な予防作戦で、一生涯自分の歯を守ることができるのです。
歯の治療の目標は「歯1本1本が健康になる」ということ(単に修復することではない)、そして「再治療の可能性が無いようにすること」が大事なのです。一本のムシ歯の治療でも充分時間をかけ、再発しないようにていねいに、確実に
行なうことが大事です。その場合いかにして歯を多く削らず、再発しないようにしていくか、細心の注意と技術が必要です。
私たちの目指す目標は、健康で快適な歯や口の実現と、その一生にわたる維持です。
この望みのすべてを達成するには、いくぶん時間がかかるかもしれませんが、あらかじめ計画された治療方針にしたがって各自が自己の分担を果たしていけば、一生涯歯科的健康を維持し、快い協力関係がもてると思います。
ホーカベ歯科クリニックでは開業と同時に「予防歯科」をメインに取り入れ独自の医療進化をとげてきました。
歯でお悩みの多くの方々そして自分の大事な歯を一生涯守っていきたいと願う方々のために、すばらしい予防歯科の
実践をこれからもより発展し続けていきたいと思っています。 ホーカベ歯科クリニック 波々伯部重俊
投稿者 ホーカベ歯科クリニック | 記事URL
2015年12月16日 水曜日
老化の原因「AGEs]を抑える食生活をしよう。
「AGEs」という言葉をご存知ですか?日本語では「糖化最終生産物」といいます。私たちの体の中では、食べたものを消化、吸収、代謝をしています。体内でタンパク質と糖が結びついて変性する反応を『糖化』といい、その最終産物を『AGEs』といいますが、老化物質として近年注目されてきました。AGEsは分解されにくく、蓄積することで、肌や髪の変化だけでなく様々な老化の原因になるといわれています。AGEsを抑えるには糖や炭水化物を余分に摂り過ぎないことや
血糖値の急上昇を抑える食べ方が重要です。具体的には、①野菜から食べる。②食物繊維の多い食事をする。③食後に軽い運動をする。④1回あたりの食事を20分以上かけてゆっくり食べる。⑤一口で30回以上噛むようにする。などです。気になる方はお試しになってはいかがですか。(他文献より抜粋)
ホーカベ歯科クリニック 波々伯部重俊
血糖値の急上昇を抑える食べ方が重要です。具体的には、①野菜から食べる。②食物繊維の多い食事をする。③食後に軽い運動をする。④1回あたりの食事を20分以上かけてゆっくり食べる。⑤一口で30回以上噛むようにする。などです。気になる方はお試しになってはいかがですか。(他文献より抜粋)
ホーカベ歯科クリニック 波々伯部重俊
投稿者 ホーカベ歯科クリニック | 記事URL















































