歯の色・形を美しくする
2020年4月10日 金曜日
白い歯になりたい。
![]() |
![]() |
|
![]() |
![]() |
|
![]() |
![]() |
|
![]() |
![]() |
|
|
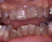
58歳女性 【お悩み・ご要望】 4年前に入れた前歯のかぶせ物の色と形がきれいじゃない、歯肉が黒くなって来た。 下の歯の色と歯並びがガタガタ、口臭が気になる。白い歯になりたい。 【治療方針】 オーラル検査、予防プログラム、歯の基本治療、歯肉黒ずみ処置、下顎矯正、かぶせものの再修復など。 口元には若返り、品性の回復、美しさ回復、清潔感などがあふれています。お顔の表情にも自信がもどりました。 |
投稿者 尾張旭や名古屋市で審美歯科ならホーカベ歯科クリニック | 記事URL
2013年4月23日 火曜日
歯が黄色い、いかつい歯、女性らしい歯
歯の色が全体にやや黄色くくすんだ色をしているのと真ん中の2本の歯が少しねじれていて、形も四角いのがずっと気になってコンプレックスになっていました。色の合わない治療跡もいやでした。
一般的には矯正でねじれを治してから色や形を良くするのですが、お仕事の関係と時間的な問題でそれ以外の方法で治すことになりました。
治療方法:予防プログラム、歯肉のコントロール、ホワイトニング、クラウンレストレーション
一般的には矯正でねじれを治してから色や形を良くするのですが、お仕事の関係と時間的な問題でそれ以外の方法で治すことになりました。
治療方法:予防プログラム、歯肉のコントロール、ホワイトニング、クラウンレストレーション
![]() |
![]() |
|
![]() |
![]() |
![]() |
![]() |
![]() |
|
![]() |
![]() |
![]() |
投稿者 尾張旭や名古屋市で審美歯科ならホーカベ歯科クリニック | 記事URL
2013年4月17日 水曜日
簡単に歯の隙間を治す方法。
子供の頃から歯と歯の間に隙間があったのがずっと気になっていた。どうしたら隙間をなくせるのか。人に聞くと矯正をした方が良いとか、歯に何かかぶせたらいいとか、あるいはそのままでもいいんじゃないの、などと言われた。
自分としては歯を削るのはいやだし、矯正も時間がかかるし、装置を入れるのもちょっと、など迷ったあげく相談に
来られました。もう一つ別の方法があることを知ったGさんは早速依頼しました。
方法:ナノハイブリッド樹脂を盛りつける方法。歯を削らずに出来て1回ですんで簡便。時間は45分。
あらかじめ模型上でシミュレーションをして形や大きさを確認する慎重さが大事。その後、実際に歯の上で
同じ材質を使ってシミュレーションする。
自分としては歯を削るのはいやだし、矯正も時間がかかるし、装置を入れるのもちょっと、など迷ったあげく相談に
来られました。もう一つ別の方法があることを知ったGさんは早速依頼しました。
方法:ナノハイブリッド樹脂を盛りつける方法。歯を削らずに出来て1回ですんで簡便。時間は45分。
あらかじめ模型上でシミュレーションをして形や大きさを確認する慎重さが大事。その後、実際に歯の上で
同じ材質を使ってシミュレーションする。
![]() |
![]() |
|
![]() |
![]() |
![]() |
| シミュレーション模型 | ||
![]() |
投稿者 尾張旭や名古屋市で審美歯科ならホーカベ歯科クリニック | 記事URL
2013年4月17日 水曜日
歯の色に対するコンプレックスをなくしたい。
もの心ついた時から歯の色が悪かった。今までずっと白い歯にあこがれていた。中途半端な白さはイヤ。
やるなら本当に白い歯になりたい。歯のコンプレックスをなくして堂々ともっと前向きに生きていきたい。
歯のきれいな人には想像もできないほどのつらいお悩みでした。
私たちはこれまで、さまざまな歯の問題を解決することがその人の人生観まで変えてしまう、ということを数多く経験しています。歯科審美は単に歯を治すだけではなく、その人の幸せに大きくかかわっているのだと、その責任の重さを常々忘れてはならないと感じています。
治療法:予防プログラム(セルフケアの習得)、セラミックラミネート(歯の表側表面に薄く貼る)。
ホーカベ歯科クリニック 波々伯部重
やるなら本当に白い歯になりたい。歯のコンプレックスをなくして堂々ともっと前向きに生きていきたい。
歯のきれいな人には想像もできないほどのつらいお悩みでした。
私たちはこれまで、さまざまな歯の問題を解決することがその人の人生観まで変えてしまう、ということを数多く経験しています。歯科審美は単に歯を治すだけではなく、その人の幸せに大きくかかわっているのだと、その責任の重さを常々忘れてはならないと感じています。
治療法:予防プログラム(セルフケアの習得)、セラミックラミネート(歯の表側表面に薄く貼る)。
ホーカベ歯科クリニック 波々伯部重
![]() |
![]() |
|
![]() |
![]() |
![]() |
![]() |
![]() |
|
![]() |
![]() |
![]() |
投稿者 尾張旭や名古屋市で審美歯科ならホーカベ歯科クリニック | 記事URL
2013年4月16日 火曜日
「変色歯」を白い歯にする方法-その2-。濃い変色でも白い歯になりますか?
子供の頃から自分は一生こんな歯でいなければいけないのか、なんで自分だけが・・・。色だけでなく歯並びも悪かったKさん。とにかく白い歯になりたい。その一心で治療する決心をされました。
治療法;検査、予防プログラム終了後、上下矯正、セラミックラミネートを表側の歯の表面に付けました。
Kさんは治療後、「なんか生まれ変わったような気がします。新しい自分を発見できてこんなに嬉しいことはない」と
おっしゃっていました。
治療法;検査、予防プログラム終了後、上下矯正、セラミックラミネートを表側の歯の表面に付けました。
Kさんは治療後、「なんか生まれ変わったような気がします。新しい自分を発見できてこんなに嬉しいことはない」と
おっしゃっていました。
![]() |
![]() |
|
![]() |
![]() |
![]() |
![]() |
![]() |
|
![]() |
![]() |
![]() |
投稿者 尾張旭や名古屋市で審美歯科ならホーカベ歯科クリニック | 記事URL






































