ホーム > 50歳以上の方の若返り治療
50歳以上の方の若返り治療
年齢を重ねると若さと美しさはお顔や体型の変化だけでなく口元や歯並び色、形によって年齢を感じさせることにお気づきですか?
歯を治すことがアンチエイジングになり、若さを取り戻します。
実際の症例

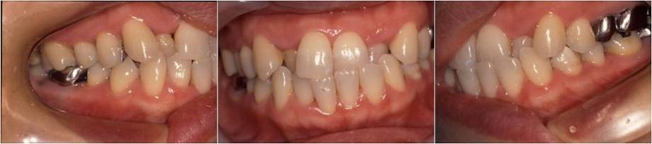
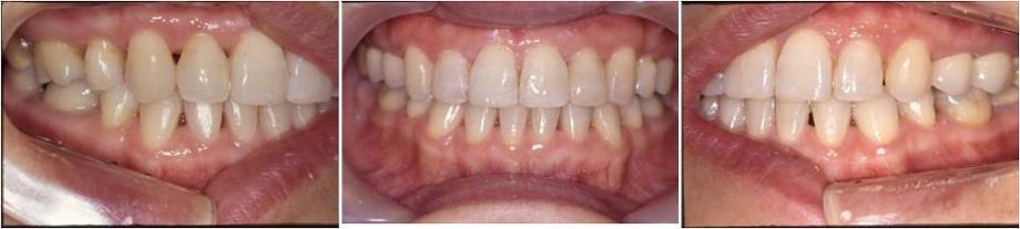
58歳女性
【解説】
歯の治療はこれまでいやというほどやってこられたCさん。いつのときも、その場しのぎのただムシ歯を治すという治療でした。今まで一度も口全体の健康や美しさを考えた治療ではなかったのです。まだまだ自分は若くきれいでいたいという強い思いがありました。
ミニ矯正と新しい修復治療を行なった結果1年6ヶ月後、 歯並びも、歯の色も、歯の形も、そして何と言っても口元と笑顔が若く生き生きとして心までも若返ったとおっしゃっていました。


53歳女性
【解説】
歯の健康管理なんて今まで一度も真剣に考えたことがなかったとおっしゃるAさんは口の中の健康と若さを取り戻したいという目的で来院されました。
1年半の矯正治療できれいな歯並びと自然な咬み合わせ、そして健康な歯肉になりました。治療後はこの健康と美しさをこわさないために、年4回の定期メンテナンスケアを実行されています。

51歳女性
【解説】
長年看護師として人生を捧げてきたBさん。自分の歯のことなど真剣に考える余裕などありませんでした。でも50歳を過ぎて自分を見つめ直しました。ずっと若い頃から気になっていた歯並びをきれいにしたいと思ったのです。自分の年齢ではもう遅いのではないかと心配でした。でも大丈夫だということを知って治療に踏み切りました。
矯正治療2年後、若い頃からの望みがやっと叶えられたとお喜びでした。
























