ホワイトニング
歯は喫煙、食生活、薬の副作用、加齢、歯磨き不足などの原因により様々な色に変色していきます。
そして、歯の着色は、人目に付くだけでなく、不健康で暗いイメージを作りがちです。せっかく素敵にオシャレをしていても、髪の毛がボサボサだったら台無しになってしまうように、せっかくリップやグロスで口元をメイクしていても、口を開いたとたん、歯が黄ばんでいたり、黒ずんでいたりするのがわかったらどうでしょう?
逆に、自然な白さで輝く口元が頬笑みから垣間見えたらどうでしょう?
健康的で清潔感に溢れて、それだけで大きく好感度がアップすると思いませんか?
当院で行っている歯を白くする治療法
ホームブリーチング
・オーダーメイドの専用トレーにホワイトニング剤を入れて、自宅で好きな時に使用できる。
・ムシ歯や歯周病がある場合はそちらを先に治してからホワイトニングをおこなう。
・漂白できない着色もあるのですべての歯が白くなるわけではない。
・1回行えばいつまでも白さが続くということはないので、定期的に行うと良い。
オフィス・ブリーチング
・検査、予防、クリーニングの後、1~2回の来院で歯が自然な白さになる。
・クリニックで、クリニック仕様のブリーチング剤を使って、特殊な光を当てて漂白していく(1回~3回)、専門的ブリーチ ング法。
・やや濃い変色歯(グレー系、イエローブラウン系)の場合などに適している。
・1回1時間、痛みはほとんどなく、眠っている間に白くなる。
・ムシ歯や歯周病を治療してからでないと、ホワイトニングはできない。
・漂白できない着色もある。
・1回行えばいつまでも白さが続くわけではない。
・縞模様のある変色歯の場合、ブリーチングはあまり適さない(このような場合はブリーチングをした上でさらにポーセレンラミネートを行えばより自然な白さに回復する)。
コンタクトレンズ・ラミネート
・「むし歯になって詰めものをしても、今ひとつきれいにならないとき」「歯の一部が欠けたり、歯の形や大きさを直したりしたいとき」「黄ばんだ色を白くしたいとき」などに大変有効。
・コンタクトレンズのように薄いラミネートを歯の表面に付けたり、盛ったりして治す。
・歯や歯ぐきが健康で、咬み合わせにも問題がなければ、1回~2回で完了。
・透明だから自分の天然歯の色をそのまま再現できる(ブリーチをすれば白くすることもできる)。
・歯を白くする場合は白いラミネートを付ける。
・イエロー系、ブラウン系、グレー系など様々どんな色にも対応可能。
実際の症例
今の時代は白い歯であることが美しい人の条件の一つです。自分の歯を手軽なホワイトニングをして、いつも白い歯でいましょう。

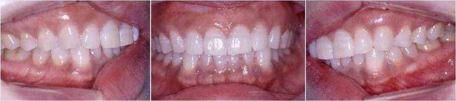
26歳女性
【治療内容】
正しい歯の手入れレッスン+クリーニング+ブリーチング2回

21歳女性
【治療内容】
正しい歯の手入れレッスン+クリーニング+ブリーチング2回
25歳女性
【治療内容】
正しい歯のお手入れレッスン、クリーニング、ブリーチング3回






















