審美歯科ブログ
2015年4月17日 金曜日
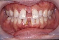
すきっ歯がこんなにきれいに治りました。
生まれつき歯が2本生えてこなかったことも原因して、歯と歯の間が大きく
空いてしまいました。まだお若いAさんはなんとか普通にきれいになりたい
という強い願望をおもちでした。歯を抜いたり、歯を削ったり、かぶせたりしない
方法で治しました。
「審美矯正」の方法は多くの利点をもっています。矯正だけでもない、かぶせる
だけでもない、ましてインプラントなどしなくても健康的に美しく治すことができました。
ホーカベ歯科クリニック 歯科医師 波々伯部重俊
空いてしまいました。まだお若いAさんはなんとか普通にきれいになりたい
という強い願望をおもちでした。歯を抜いたり、歯を削ったり、かぶせたりしない
方法で治しました。
![]() |
||
![]() |
![]() |
![]() |
![]() |
||
![]() |
||
![]() |
![]() |
![]() |
![]() |
||
![]() |
![]() |
![]() |
![]() |
||
![]() |
||
![]() |
![]() |
![]() |
「審美矯正」の方法は多くの利点をもっています。矯正だけでもない、かぶせる
だけでもない、ましてインプラントなどしなくても健康的に美しく治すことができました。
ホーカベ歯科クリニック 歯科医師 波々伯部重俊
投稿者 ホーカベ歯科クリニック | 記事URL

































