審美歯科ブログ
2016年4月22日 金曜日
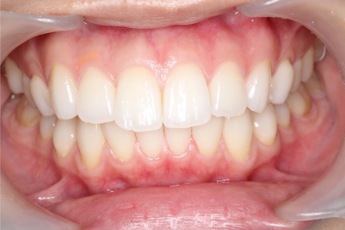
前歯が少し出ているのがとっても嫌です。
21歳のA子さんは前歯の歯並びがとても気になっていました。
上の前歯が前に出ていることと、歯の色が黄色っぽいことが
いやでした。前から見るとそれほど前に出ているとは見えませんが、
横から見ると出ているのがわかります。
比較的短期間で、目立たない方法で治すことができます。
ホーカベ歯科クリニック 歯科医師 波々伯部重俊
上の前歯が前に出ていることと、歯の色が黄色っぽいことが
いやでした。前から見るとそれほど前に出ているとは見えませんが、
横から見ると出ているのがわかります。
比較的短期間で、目立たない方法で治すことができます。
ホーカベ歯科クリニック 歯科医師 波々伯部重俊
![]() |
![]() |
|
![]() |
![]() |
![]() |
||
投稿者 ホーカベ歯科クリニック | 記事URL
2016年4月20日 水曜日
金属アレルギーと歯科治療
これまで一般的に行なわれているところのムシ歯になったときの歯の修復治療は
写真(A)のようになることが多いと思います。外観的にも問題ですが、人によっては
金属アレルギーが発症することもあります。そのような場合には、写真(B)のように
金属を一切使用しないメタルフリーの修復を行なうことによって解決します。
見た目も自然な美しさが再現され一石二鳥というところです。
ホーカベ歯科クリニック 歯科医師 波々伯部重俊
(A)
(A) (B)
写真(A)のようになることが多いと思います。外観的にも問題ですが、人によっては
金属アレルギーが発症することもあります。そのような場合には、写真(B)のように
金属を一切使用しないメタルフリーの修復を行なうことによって解決します。
見た目も自然な美しさが再現され一石二鳥というところです。
ホーカベ歯科クリニック 歯科医師 波々伯部重俊
(A)
![]() |
![]() |
![]() |
| (B) | ⇩ | |
![]() |
![]() |
![]() |
![]() |
![]() |
|
![]() |
![]() |
投稿者 ホーカベ歯科クリニック | 記事URL

































