審美歯科ブログ
2024年8月31日 土曜日
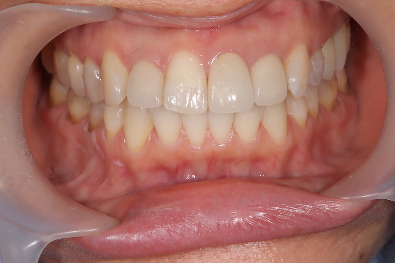
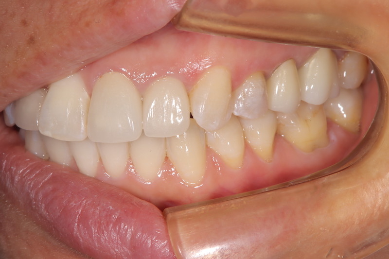
思いきって歯を治して良かった。
40代のMさんは以前から自分の歯には自信がありませんでした。
歯の色がまちまちで、歯並びも悪いことが人の前で歯を見せて笑うことが出来なかったのです。
いつかは来るだろうマスクをしなくてもよくなった時のことを考えると憂鬱な毎日でした。
時間もお金もかかりましたが、今、マスクをしなくても歯ッピーな笑顔ができるようになり、仕事も
新天地を迎えることが出来ました。本当に良かったですね。
ホーカベ歯科クリニック 歯科医師 波々伯部重俊
歯の色がまちまちで、歯並びも悪いことが人の前で歯を見せて笑うことが出来なかったのです。
いつかは来るだろうマスクをしなくてもよくなった時のことを考えると憂鬱な毎日でした。
時間もお金もかかりましたが、今、マスクをしなくても歯ッピーな笑顔ができるようになり、仕事も
新天地を迎えることが出来ました。本当に良かったですね。
ホーカベ歯科クリニック 歯科医師 波々伯部重俊
|
|
|
|
| ⇩ | ||
|
|
|
|
|
|
▶ |
|
|
¥ |
▶ |
|
|
|
▶ |
|
投稿者 ホーカベ歯科クリニック | 記事URL


















